5 yaşındaki çocuğun yuttuğu toplu iğne 9 ay sonra çıkarıldı!
Bitlis’te, 5 yaşındaki bir çocuk oyun oynarken toplu iğne yuttu. 9 ay sonra şiddetli ağrılar yaşayan çocuk hastaneye götürüldü. Yapılan tetkikler sonucu yeri tespit edilen toplu iğne başarılı bir operasyonla alındı.
Bitlis’te, 5 yaşındaki bir çocuk oyun oynarken toplu iğne yuttu. 9 ay sonra şiddetli ağrılar yaşayan çocuk hastaneye götürüldü. Yapılan tetkikler sonucu yeri tespit edilen toplu iğne başarılı bir operasyonla alındı.
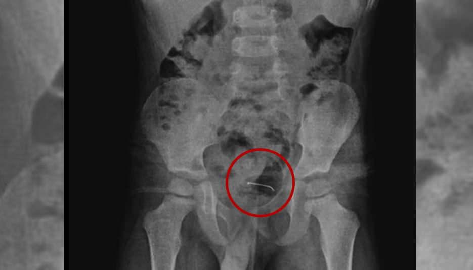
Bitlis’te oyun oynarken toplu iğne yutan 5 yaşındaki çocuk “yabancı husus yutma” münasebeti ile ailesi tarafından hastaneye götürüldü. Tabiplerin incelemelerine karşın sonuç alamayan aile meskene geri döndü. 9 ay sonra şiddetli karın ağrısı yaşayan çocuk tekrar hastaneye götürüldü. Yapılan tetkikler sonucunda çocuğun mesane duvarında görülen ve toplu iğne olduğu tespit edilen yabancı husus başarılı bir cerrahi operasyonla alındı.

9 AY SONRA ŞİDDETLİ AĞRILAR ORTAYA ÇIKTI
Güroymak ilçesinde yaşayan aile, 5 yaşındaki çocuklarının yabancı bir cisim yuttuğunu belirterek hastaneye başvurdu lakin sonuç alamadı. Olayın üzerinden 9 ay geçtikten sonra 5 yaşındaki çocuk şiddetli karın ağrıları yaşamaya başladı. Bunun üzerine aile tekrardan Tatvan Devlet Hastanesine başvurdu.
5 yaşındaki çocuğa yapılan tetkikler sonucunda, şiddetli karın ağrısına neden olan durumun mesane duvarına yapışan yabancı unsur olduğu tespit edildi. Küçük çocuğun yuttuğu 3 santimetre uzunluğundaki toplu iğne başarılı bir operasyonla alındı.

3 SANTİMETRLİK TOPLU İĞNE BAŞARILI FORMDA ÇIKARILDI
Ameliyatı gerçekleştiren Çocuk Cerrahi Uzmanı Op. Dr. Tahsin Onat Kamçı; küçük çocuğun yuttuğu toplu iğnenin aile tarafından ayırt edilemediğini, bu nedenle de 9 ay sonra ortaya çıkan şikayetler üzerine lakin tespit edilebildiğini aktardı.
Kamçı, yabancı cismin bedenden olağan yollarla atılamadığını belirterek, “Bunun üzerine ameliyat kararı aldık. Ameliyatta cismin mesane duvarına yapıştığını gördük. Cerrahi operasyonla 3 santimetre civarındaki toplu iğneyi çıkardık. Hastayı birkaç gün takipte tuttuk. Genel sıhhat durumu düzgün olan hastamızı taburcu ettik.” ifadelerini kullandı.

KESİNLİKLE DİKKAT EDİLMELİ!
Op. Dr. Tahsin Onat Kamçı, “Kesici ve delici cisimler çok tehlikeli. Bu üzere cisimlerin çocukların ulaşabileceği yerlere bırakılmaması gerekiyor.” diyerek aileleri bu stil olaylara karşı çok dikkatli olmaları konusunda uyardı.